Soluciones reales
para casos dentales complejos

Diagnóstico avanzado, enfoque interdisciplinario
y tratamientos pensados para mejorar tu salud,
tu función y tu confianza.

3 Ote. 820, 2520000 Viña del Mar, Valparaíso

+56 9 4071 8472

Lun/Vier: de 10AM a 8PM

Quizás llegaste aquí porque…

Si te identificas con alguna de estas situaciones, podemos ayudarte a entender
qué está pasando y cuál es el mejor camino para tu caso.

No tratamos solo dientes.
Entendemos el caso completo.

En Clínica Basili analizamos cada caso en profundidad para encontrar soluciones más precisas, estables y coherentes con tu salud general.

DIAGNÓSTICO
AVANZADO

Utilizamos tecnología
y protocolos de análisis
que nos permiten ver más allá
de lo evidente y comprender
tu caso con mayor precisión.

Enfoque interdisciplinario

Integramos distintas áreas
para que el tratamiento
no dependa de una sola mirada, sino de un plan completo
y bien pensado.

casos
complejos

Nos enfocamos en resolver situaciones que muchas veces requieren más experiencia,
más estudio y una planificación diferente.

Así es tu camino
en Clínica Basili

Tu tratamiento no empieza con una solución apurada.
Empieza entendiendo bien tu caso.

Te escuchamos

Empezamos por entender qué te preocupa, qué has vivido antes
y qué esperas lograr.

Diagnosticamos en profundidad

Estudiamos tu caso con criterio clínico, tecnología y una mirada funcional
e interdisciplinaria.

Diseñamos tu plan

Definimos un tratamiento personalizado, claro y alineado
con tus necesidades reales.

Transformamos

Buscamos resultados que mejoren no solo tu sonrisa, sino también
tu bienestar y tu seguridad.

Acompañamos

Hacemos seguimiento para cuidar la estabilidad del resultado
en el tiempo.

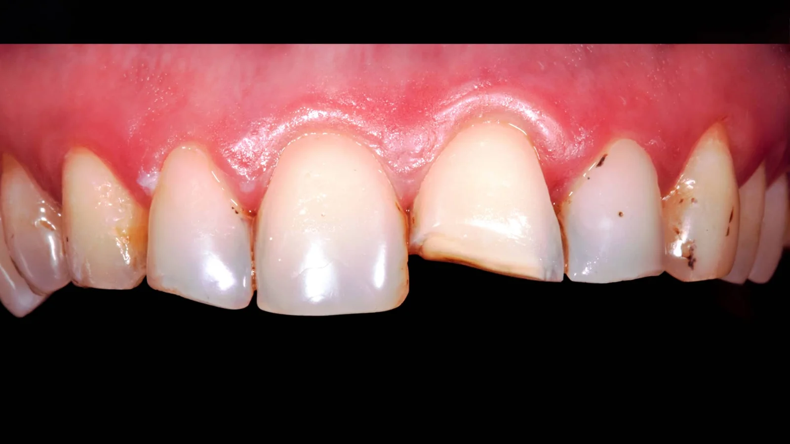
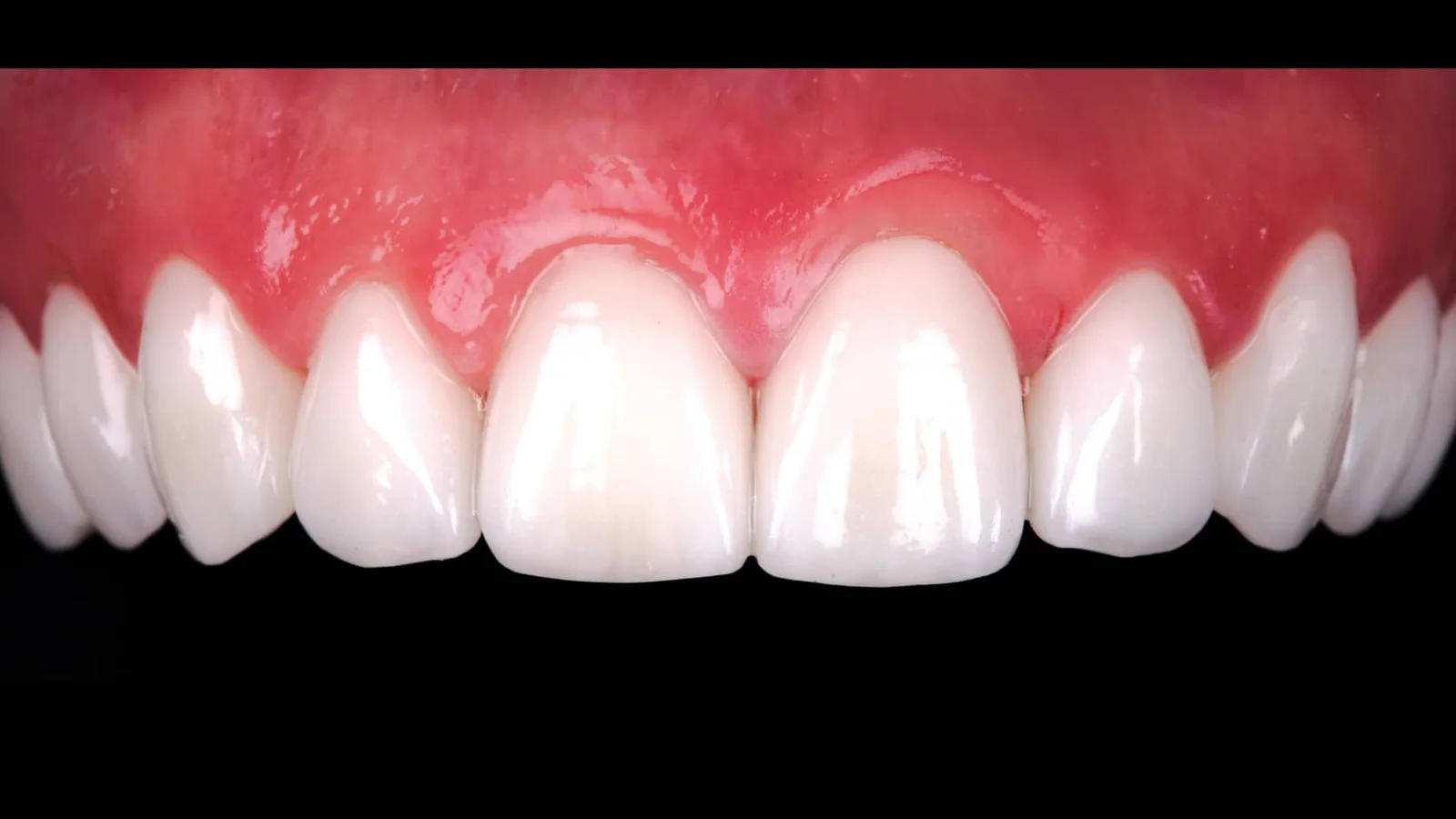
Casos reales, cambios reales

Cada caso tiene una historia, un punto de partida y una solución pensada con precisión.

Ortodoncia

Corrige la alineación de tus dientes
con tratamientos ortodóncicos personalizados. Ya sea con brackets tradicionales o alineadores invisibles, logramos una sonrisa armónica y funcional adaptada a tus necesidades.

Implantes dentales

Recupera la confianza en tu sonrisa
con implantes dentales de última generación. Estas soluciones permanentes reemplazan dientes perdidos con estructuras resistentes
y naturales, asegurando comodidad
y funcionalidad a largo plazo.

Carillas & Coronas

Transformamos tu sonrisa con carillas
de porcelana ultrafinas y coronas de alta calidad. Diseñadas para mejorar la estética y funcionalidad, nuestras soluciones se adaptan perfectamente a tu dentadura, proporcionando un acabado natural
y duradero.

Respaldado por experiencia, estudio
y una mirada de alta complejidad

Clínica Basili reúne experiencia clínica, formación internacional
y una manera de trabajar centrada en el diagnóstico preciso
y la resolución de casos complejos.

Nuestra visión integra función, estética, oclusión y bienestar,
para ofrecer tratamientos más completos, más coherentes
y más duraderos.